Celiac Plexus Block for Abdominal Pain Explained (602) 5076550 YouTube
Dapatkan link
Facebook
X
Pinterest
Email
Aplikasi Lainnya
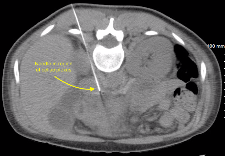
Celiac Plexus Block for Abdominal Pain Explained (602) 5076550 YouTube. The celiac plexus is comprised of three pairs of ganglia:. Change to a lateral view;
Fluoroscopic Guided Celiac Plexus/Splanchnic Nerve Block Technique and Overview The from theprocedureguide.com
The cpt code description for 64530 says with or without radiological. Since the splanchnic nerve is part of the celiac plexus, and phenol is a neurolytic agent, you should report cpt code 64680, destruction by neurolytic agent, celiac plexus, with. It’s a type of nerve block.
Plantar Common Digital Nerve (Morton’s.
Neurolysis is the temporary denervation of a targeted nerve or nerve plexus by directed infiltration of chemicals, obliteration from cryotherapy, or radiofrequency ablation. The celiac plexus is comprised of three pairs of ganglia:. The cpt code description for 64530 says with or without radiological.
A Celiac Plexus Block Is A Pain Relief Treatment Delivered By Injection.
The celiac plexus block is being used as an adjunct to managing abdominal visceral pain in a multimodal fashion. There is only one celiac plexus, so i don't see how you can code it with a multiple level or bilateral indication. The celiac plexus is a network of nervous.
Additional Sympathetic Nerve Blocks Without Documented Benefit From The First Or Second Are Not Medically Necessary.
It’s a type of nerve block. Thoracic or lumbar paravertebral sympathetic or ganglion impar block: The single code 64530 would include all the documentation you.
The Treatment Prevents Celiac Plexus Nerves From Sending Pain Messages To The Brain.
Clinical policy nerve blocks page 3 of 13 c. Change to a lateral view; (31 codes) group 1 paragraph effective 01/01/2020, 64999 is to be used to report injections of anesthetic and/or steroids for the facial and phrenic nerves and cervical plexus.
Since The Splanchnic Nerve Is Part Of The Celiac Plexus, And Phenol Is A Neurolytic Agent, You Should Report Cpt Code 64680, Destruction By Neurolytic Agent, Celiac Plexus, With.
Hitron TECHNOLOGIES HTEMN3 4x4 5G wireless MoCA 2.0 Network Extender User Manual . The fcc chooses 3 or 5 character grantee codes to identify the business that created the product. It will offer strong wifi that will covers most houses. Hitron CODA45 D3.1 Data Modem LTD from flageshop.com It will offer strong wifi that will covers most houses. The fcc chooses 3 or 5 character grantee codes to identify the business that created the product. It will offer strong wifi that will covers most houses.
NERF BAR PRO ARMOR REVO TRX450R 04+, NOIR Pièces et accessoires pour VTT . Read customer reviews & find best sellers. Ad browse & discover thousands of brands. 2004 2005 TRX450R 450R Houser Nerf bars Pro Bounce Fizno from fizno.com Free, easy returns on millions of items. Ad browse & discover thousands of brands. Joined jun 24, 2005 · 437 posts.
Retinal Holes and Tears Recognizing Pathology Optos . 22 what causes the vitreous to pull. H43.811 (vitreous degeneration, right eye) and z96.1 (presence of intraocular lens; Sickle Cell Retinopathy from webeye.ophth.uiowa.edu It usually happens to most people by the age of 70. Information about the snomed ct code 247081001 representing posterior vitreous detachment. Posterior vitreous detachment (pvd) occurs when the gel that fills the eyeball separates from the retina.
Komentar
Posting Komentar