Center for Ankle and Foot Care Blogspot Are you frustrated with
impending ICD10 quickly
Dapatkan link
Facebook
X
Pinterest
Email
Aplikasi Lainnya
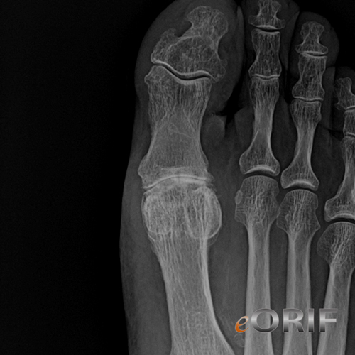
Center for Ankle and Foot Care Blogspot Are you frustrated with impending ICD10 quickly. It is found in the 2022 version of. M20.11 is a billable icd code used to specify a diagnosis of hallux valgus (acquired), right foot.
Big Bad Hallux valgus from bigbadwu.blogspot.com
It is found in the 2022 version of. Subscribe to codify by aapc and get the code details in. Other congenital valgus deformities of feet.
M20.11 Is A Billable Icd Code Used To Specify A Diagnosis Of Hallux Valgus (Acquired), Right Foot.
Subscribe to codify by aapc and get the code details in. Available for iphone, ipad, android, and web. 8 735.0 hallux valgus (acquired) m20.10 hallux valgus (acquired) unspecified foot m20.11 hallux valgus (acquired) right foot m20.12 hallux valgus (acquired) left foot
Other Congenital Valgus Deformities Of Feet.
The icd10 code for the diagnosis hallux valgus (acquired), right foot is m20.11. It is found in the 2022 version of the. 2016 2017 2018 2019 2020 2021 2022 billable/specific code.
Hallux Varus (Acquired), Right Foot Billable Code.
It is found in the 2022 version of. A 'billable code' is detailed enough to. 2016 2017 2018 2019 2020 2021 2022 billable/specific code poa exempt.
Hitron TECHNOLOGIES HTEMN3 4x4 5G wireless MoCA 2.0 Network Extender User Manual . The fcc chooses 3 or 5 character grantee codes to identify the business that created the product. It will offer strong wifi that will covers most houses. Hitron CODA45 D3.1 Data Modem LTD from flageshop.com It will offer strong wifi that will covers most houses. The fcc chooses 3 or 5 character grantee codes to identify the business that created the product. It will offer strong wifi that will covers most houses.
NERF BAR PRO ARMOR REVO TRX450R 04+, NOIR Pièces et accessoires pour VTT . Read customer reviews & find best sellers. Ad browse & discover thousands of brands. 2004 2005 TRX450R 450R Houser Nerf bars Pro Bounce Fizno from fizno.com Free, easy returns on millions of items. Ad browse & discover thousands of brands. Joined jun 24, 2005 · 437 posts.
Retinal Holes and Tears Recognizing Pathology Optos . 22 what causes the vitreous to pull. H43.811 (vitreous degeneration, right eye) and z96.1 (presence of intraocular lens; Sickle Cell Retinopathy from webeye.ophth.uiowa.edu It usually happens to most people by the age of 70. Information about the snomed ct code 247081001 representing posterior vitreous detachment. Posterior vitreous detachment (pvd) occurs when the gel that fills the eyeball separates from the retina.
Komentar
Posting Komentar